Probiotics Strain Identification Using AI
Accurate strain-level identification of probiotic bacteria presents significant technical challenges due to genomic similarity between closely related strains. Conventional methods relying on 16S rRNA sequencing typically achieve resolution only to genus or species level, while strain-specific genomic elements—often comprising less than 5% of the total genome—contain the functional differences that determine probiotic efficacy and safety profiles.
The challenge lies in developing computational approaches that can reliably identify strain-specific genomic signatures while accommodating the natural genetic drift that occurs even within defined strains.
This page brings together solutions from recent research—including species-specific consensus sequence generation through multi-strain alignment, high-resolution melting curve analysis with machine learning interpretation, quantitative phase imaging coupled with convolutional neural networks, and targeted amplification of strain-specific genomic regions. These and other approaches enable accurate identification of probiotic strains without the time and resource constraints of traditional culture-based methods.
1. Method and Device for Identifying Unique Species-Specific Genomic Regions for Primer and Probe Design in PCR Detection
SHANGHAI ZJ BIO-TECH CO LTD, 2025
Method and device for identifying specific regions in microorganism target fragments for improved PCR sensitivity and specificity. The method involves finding unique and species-specific sequences within microbial genomes to design primers and probes for PCR detection. This addresses the limitations of using conserved plasmid or rRNA genes for PCR primer design, which can have low specificity and sensitivity due to variability between strains and species. The method involves computational analysis of genome sequences to identify regions that are both unique and conserved within a species, providing improved target specificity for PCR.
2. Expectations for employing <i>Escherichia coli</i> Nissle 1917 in food science and nutrition
Miaomiao Hu, Tao Zhang, Ming Miao - Informa UK Limited, 2025
As a promising probiotic strain,
3. Development and evaluation of statistical and artificial intelligence approaches with microbial shotgun metagenomics data as an untargeted screening tool for use in food production
Kristen L. Beck, Niina Haiminen, Akshay Agarwal - American Society for Microbiology, 2024
ABSTRACT The increasing knowledge of microbial ecology in food products relating to quality and safety and the established usefulness of machine learning algorithms for anomaly detection in multiple scenarios suggests that the application of microbiome data in food production systems for anomaly detection could be a valuable approach to be used in food systems. These methods could be used to identify ingredients that deviate from their typical microbial composition, which could indicate food fraud or safety issues. The objective of this study was to assess the feasibility of using shotgun sequencing data as input into anomaly detection algorithms using fluid milk as a model system. Contrastive principal component analysis (PCA), cluster-based methods, and explainable artificial intelligence (AI) were evaluated for the detection of two anomalous sample classes using longitudinal metagenomic profiling of fluid milk compared to baseline (BL) samples collected under comparable circumstances. Traditional methods (alpha and beta diversity, clustering-based contrastive PCA, multidimensional... Read More
4. Applications of Artificial Intelligence in Microbiome Analysis and Probiotic Interventions—An Overview and Perspective Based on the Current State of the Art
Fabiana D’Urso, Francesco Broccolo - MDPI AG, 2024
The gut microbiota plays a crucial role in maintaining human health and influencing disease states. Recent advancements in artificial intelligence (AI) have opened new avenues for exploring the intricate functionalities of the gut microbiota. This article aims to provide an overview of the current state-of-the-art applications of AI in microbiome analysis, with examples related to metabolomics, transcriptomics, proteomics, and genomics. It also offers a perspective on the use of such AI solutions in probiotic interventions for various clinical settings. This comprehensive understanding can lead to the development of targeted therapies that modulate the gut microbiota to improve health outcomes. This article explores the innovative application of AI in understanding the complex interactions within the gut microbiota. By leveraging AI, researchers aim to uncover the microbiotas role in human health and disease, particularly focusing on CIDs and probiotic interventions.
5. LACTIC ACID BACTERIA AS INGREDIENTS OF PROBIOTIC PREPARATIONS
В. В. Денисенко, M.E. Safonova, I.A. Naidenko - National Center for Biotechnology, 2024
Lactic acid bacteria have a long and extensive application record as probiotic strains. Lately, due to wide-spread use of molecular-genetic, transcirptomic, proteomic, metabolomic etc. studies and the massive accumulation of data on the structure and functions of symbiotic intestinal microbiota, the interest in probiotic microorganisms tends to expand year-by-year. Lactic acid bacteria were the first used probiotic species, are still of sharp market demand and have been recognized as the most thoroughly studied microbes among functional relatives. However, characteristics inherent to probiotic bacteria are strain-specific, as a rule, and for preparations with defined purpose it is essential to select special strains showing a complex of appropriate properties. It accentuates the top relevance of research aimed at selection of lactic acid bacterial strains suitable for diverse probiotic preparations. For several decades we curried out investigations to isolate strains of lactic acid bacteria from various natural sources, to characterize their properties and to derive technologies of p... Read More
6. ARTIFICIAL INTELLIGENCE AND BIG DATA ANALYSIS
Neha Pandey - Iterative International Publishers, Selfypage Developers Pvt Ltd, 2024
Artificial Intelligence (AI), a dynamic discipline within computer science, stands as a driving force in simulating intelligent behaviors in machines. In the specialized realm of medical microbiology, AI systems leverage the capabilities of machine learning algorithms to navigate extensive datasets, unravel intricate patterns, and conduct predictive analyses. This sophisticated application of AI is pivotal, not only amplifying our comprehension of microbial interactions but also furnishing crucial insights into the intricate landscape of infectious diseases (Goodswen et al., 2021; Shelke, Badge, & Bankar, 2023; Bellini et al., 2022). The scope of AI in medical microbiology transcends conventional methodologies, presenting a revolutionary paradigm for unraveling microbial complexities. Through the analysis of genomic, proteomic, and clinical data, AI systems contribute significantly to a more holistic understanding of infectious diseases. These systems showcase the ability to discern subtle patterns indicative of specific microbial strains, forecast disease trajectories, and pinpo... Read More
7. Computational prediction of new therapeutic effects of probiotics
Sadegh Sulaimany, Kajal Farahmandi, Aso Mafakheri - Springer Science and Business Media LLC, 2024
Abstract Probiotics are living microorganisms that provide health benefits to their hosts, potentially aiding in the treatment or prevention of various diseases, including diarrhea, irritable bowel syndrome, ulcerative colitis, and Crohns disease. Motivated by successful applications of link prediction in medical and biological networks, we applied link prediction to the probiotic-disease network to identify unreported relations. Using data from the Probio database and International Classification of Diseases-10th Revision (ICD-10) resources, we constructed a bipartite graph focused on the relationship between probiotics and diseases. We applied customized link prediction algorithms for this bipartite network, including common neighbors, Jaccard coefficient, and Adamic/Adar ranking formulas. We evaluated the results using Area under the Curve (AUC) and precision metrics. Our analysis revealed that common neighbors outperformed the other methods, with an AUC of 0.96 and precision of 0.6, indicating that basic formulas can predict at least six out of ten probable relations correctly. ... Read More
8. The Impact of Artificial Intelligence on Microbial Diagnosis
Ahmad Alsulimani, Naseem Akhter, Fatima Jameela - MDPI AG, 2024
Traditional microbial diagnostic methods face many obstacles such as sample handling, culture difficulties, misidentification, and delays in determining susceptibility. The advent of artificial intelligence (AI) has markedly transformed microbial diagnostics with rapid and precise analyses. Nonetheless, ethical considerations accompany AI adoption, necessitating measures to uphold patient privacy, mitigate biases, and ensure data integrity. This review examines conventional diagnostic hurdles, stressing the significance of standardized procedures in sample processing. It underscores AIs significant impact, particularly through machine learning (ML), in microbial diagnostics. Recent progressions in AI, particularly ML methodologies, are explored, showcasing their influence on microbial categorization, comprehension of microorganism interactions, and augmentation of microscopy capabilities. This review furnishes a comprehensive evaluation of AIs utility in microbial diagnostics, addressing both advantages and challenges. A few case studies including SARS-CoV-2, malaria, and mycobacte... Read More
9. Cell Identification via PCR and High Resolution Melting Curve Analysis with Mathematical Transformation and Machine Learning Comparison
TAAG GENETICS SA, 2024
Method for identifying cells from biological samples using PCR and high resolution melting curve analysis. The method involves extracting DNA from a suspected sample, amplifying specific genomic regions using primers, and analyzing the melting curves of the amplicons. The curves are mathematically transformed and compared to a database of known organisms using machine learning algorithms for identification.
10. Universal Primer-Based System for Multiplex Detection of Bacteria and Fungi Targeting Conserved Ribosomal Regions
UNIV MICHIGAN REGENTS, 2024
Methods, compositions, kits, and systems for detecting, identifying, and quantifying bacteria and fungi using universal primers that target conserved regions flanking ribosomal ITS and other genes. The system enables simultaneous detection of multiple microorganisms in a single reaction, with sensitivity to detect as few as a single bacterium, and provides a rapid, culture-free alternative to conventional pathogen detection methods.
11. Method for Concurrent Analysis of Taxonomic Distribution and Replication Rates in Microbial Communities Using Multi-Gene Amplicon Sequencing
TATA CONSULTANCY SERVICES LTD, 2024
A method for simultaneous interpretation of taxonomic distribution and replication rates of microbial communities, comprising: collecting a microbiome sample; extracting bacterial genomic DNA; performing amplicon sequencing targeting two or more phylogenetic marker genes; mapping sequence reads to a reference database; identifying bacterial organisms and assigning taxonomic classification; measuring read coverage at genomic locations; fitting a linear function to the read coverage data; estimating replication rates from the slope of the linear function.
12. metaProbiotics: a tool for mining probiotic from metagenomic binning data based on a language model
Shufang Wu, Tao Feng, Waijiao Tang - Oxford University Press (OUP), 2024
Abstract Beneficial bacteria remain largely unexplored. Lacking systematic methods, understanding probiotic community traits becomes challenging, leading to various conclusions about their probiotic effects among different publications. We developed language modelbased metaProbiotics to rapidly detect probiotic bins from metagenomes, demonstrating superior performance in simulated benchmark datasets. Testing on gut metagenomes from probiotic-treated individuals, it revealed the probioticity of intervention strainsderived bins and other probiotic-associated bins beyond the training data, such as a plasmid-like bin. Analyses of these bins revealed various probiotic mechanisms and bai operon as probiotic Ruminococcaceaes potential marker. In different healthdisease cohorts, these bins were more common in healthy individuals, signifying their probiotic role, but relevant health predictions based on the abundance profiles of these bins faced cross-disease challenges. To better understand the heterogeneous nature of probiotics, we used metaProbiotics to construct a comprehensive probio... Read More
13. Identification and quantification of viable Lacticaseibacillus rhamnosus in probiotics using validated PMA-qPCR method
Lizheng Guo, Xiaolei Ze, Huifen Feng - Frontiers Media SA, 2024
The identification and quantification of viable bacteria at the species/strain level in compound probiotic products is challenging now. Molecular biology methods, e.g., propidium monoazide (PMA) combination with qPCR, have gained prominence for targeted viable cell counts. This study endeavors to establish a robust PMA-qPCR method for viable Lacticaseibacillus rhamnosus detection and systematically validated key metrics encompassing relative trueness, accuracy, limit of quantification, linear, and range. The inclusivity and exclusivity notably underscored high specificity of the primers for L. rhamnosus , which allowed accurate identification of the target bacteria. Furthermore, the conditions employed for PMA treatment were fully verified by 24 different L. rhamnosus including type strain, commercial strains, etc., confirming its effective discrimination between live and dead bacteria. A standard curve constructed by type strain could apply to commercial strains to convert qPCR C q values to viable cell numbers. The established PMA-qPCR method was applied to 46 samples including pur... Read More
14. An Intelligent Intestine‐on‐a‐Chip for Rapid Screening of Probiotics with Relief‐Enteritis Function
Jing Wu, Bowei Zhang, X D Liu - Wiley, 2024
Abstract Screening probiotics with specific functions is essential for advancing probiotic research. Current screening methods primarily use animal studies or clinical trials, which are inefficient and costly in terms of time, money, and labor. An intelligent intestineonachip integrating machine learning (ML) is developed to screen reliefenteritis functional probiotics. A highthroughput microfluidic chip combined with environment control systems provides a standardized and scalable intestinal microenvironment for multiple probiotic cocultures. An unsupervised MLbased score analyzer is constructed to accurately, comprehensively, and efficiently evaluate interactions between 12 Bifidobacterium strains and host cells of the colitis model in the intestineonachips. The most effective contender, Bifidobacterium longum 314, is discovered to relieve intestinal inflammation and enhance epithelial barrier function in vitro and in vivo. A distinct advantage of this strategy is that it can intelligently differentiate small therapeutic variations in probiotic strains and prioritize thei... Read More
15. Use Cases and Future Aspects of Intelligent Techniques in Microbial Data Analysis
Muhammad Naveed, Zaib-un-Nisa Memon, Muhammad Abdullah - Springer Nature Singapore, 2024
Microbes, including bacteria, archaea, fungi, and viruses, are fundamental to our ecosystems, health, and industries. Microbial data analysis has become indispensable in understanding their roles and interactions. In this era of big data, advanced techniques, such as high-throughput sequencing, metagenomics, and bioinformatics, have accelerated microbial research. This chapter explores the significance of intelligent techniques, particularly machine learning and artificial intelligence, in revolutionizing microbial data analysis. The aim of this chapter is to showcase the pivotal role of intelligent techniques in microbial data analysis across diverse domains, from ecology and public health to biotechnology. We delve into case studies that highlight the practical applications of these techniques and the transformative impact they have had on microbial research. Several case studies are presented, illustrating the applications of intelligent techniques in microbial research. These include predicting disease risk through gut microbiome analysis, antibiotic resistance prediction, enviro... Read More
16. Deciphering the gut microbiome: The revolution of artificial intelligence in microbiota analysis and intervention
Mohammad Abavisani, Alireza Khoshrou, Sobhan Karbas Foroushan - Elsevier BV, 2024
The human gut microbiome is an intricate ecosystem with profound implications for host metabolism, immune function, and neuroendocrine activity. Over the years, studies have strived to decode this microbial universe, especially its interactions with human health and underlying metabolic processes. Traditional analyses often struggle with the complex interplay within the microbiome due to presumptions of microbial independence. In response, machine learning (ML) and deep learning (DL) provide advanced multivariate and non-linear analytical tools that adeptly capture the complex interactions within the microbiota. With the influx of data from metagenomic next-generation sequencing (mNGS), there's an increasing reliance on these artificial intelligence (AI) subsets to derive actionable insights. This review delves deep into the cutting-edge ML techniques tailored for human gut microbiota research. It further underscores the potential of gut microbiota in shaping clinical diagnostics, prognosis, and intervention strategies, pointing to a future where computational methods bridge the gap ... Read More
17. DeepMineLys: Deep mining of phage lysins from human microbiome
Yiran Fu, Shuting Yu, Jianfeng Li - Elsevier BV, 2024
Vast shotgun metagenomics data remain an underutilized resource for novel enzymes. Artificial intelligence (AI) has increasingly been applied to protein mining, but its conventional performance evaluation is interpolative in nature, and these trained models often struggle to extrapolate effectively when challenged with unknown data. In this study, we present a framework (DeepMineLys [deep mining of phage lysins from human microbiome]) based on the convolutional neural network (CNN) to identify phage lysins from three human microbiome datasets. When validated with an independent dataset, our method achieved an F1-score of 84.00%, surpassing existing methods by 20.84%. We expressed 16 lysin candidates from the top 100 sequences in E. coli, confirming 11 as active. The best one displayed an activity 6.2-fold that of lysozyme derived from hen egg white, establishing it as the most potent lysin from the human microbiome. Our study also underscores several important issues when applying AI to biology questions. This framework should be applicable for mining other proteins.
18. A new era in healthcare: The integration of artificial intelligence and microbial
Da-Liang Huo, Xiaogang Wang - Elsevier BV, 2024
The convergence of artificial intelligence (AI) and microbial therapeutics offers promising avenues for novel discoveries and therapeutic interventions. With the exponential growth of omics datasets and rapid advancements in AI technology, the next generation of AI is increasingly prevalent in microbiology research. In microbial research, AI is instrumental in the classification and functional annotation of microorganisms. Machine learning algorithms facilitate efficient and accurate categorization of microbial taxa, enabling the identification of functional traits and metabolic pathways within microbial communities. Additionally, AI-driven protein design strategies hold promise for engineering enzymes with enhanced catalytic activities and stabilities. By predicting protein structures, functions, and interactions, AI algorithms enable the rational design of proteins and enzymes tailored for specific applications. AI systems are already present in clinical microbiology laboratories in the form of expert rules used by some automated susceptibility testing and identification systems. I... Read More
19. Classification of Neisseria meningitidis genomes with a bag-of-words approach and machine learning
Marco Podda, Simone Bonechi, Andrea Palladino - Elsevier BV, 2024
<h2>Summary</h2> Whole genome sequencing of bacteria is important to enable strain classification. Using entire genomes as an input to machine learning (ML) models would allow rapid classification of strains while using information from multiple genetic elements. We developed a "bag-of-words" approach to encode, using SentencePiece or k-mer tokenization, entire bacterial genomes and analyze these with ML. Initial model selection identified SentencePiece with 8,000 and 32,000 words as the best approach for genome tokenization. We then classified in <i>Neisseria meningitidis</i> genomes the capsule B group genotype with 99.6% accuracy and the multifactor invasive phenotype with 90.2% accuracy, in an independent test set. Subsequently, in silico knockouts of 2,808 genes confirmed that the ML model predictions aligned with our current understanding of the underlying biology. To our knowledge, this is the first ML method using entire bacterial genomes to classify strains and identify genes considered relevant by the classifier.
20. Beyond the microscope: Unveiling bacterial vaginosis with <scp>AI</scp>‐powered multiomics data analysis
Simona Saluzzo, Georg Stary - Wiley, 2024
Recent advancements in production and access to large datasets, faster computing and cheaper storage have encouraged the development of machine learning (ML) algorithms with human-like artificial intelligence (AI) capabilities. Such algorithms are emerging as transformative tools in dermatology, enhancing diagnostic accuracy and patient care. Challa et al.1 use these tools in an attempt to validate AI's capacity to diagnose bacterial vaginosis (BV) adopting a training dataset that combines the vaginal microbiome and metabolome of patients and controls. Bacterial vaginosis is one of the most prevalent vaginal disorders among women of childbearing age globally.2 However, its pathogenesis remains elusive, the diagnosis time-consuming and experience-dependent and its treatment highly unsatisfactory, with, 50% rate of relapse within 612 months post-antibiotic therapy, currently the only evidence-based treatment available.2 The diagnosis of BV is particularly challenging because of BV's intricate polymicrobial features and a wide range of clinical presentations. Current diagnostic modalit... Read More
21. Exploring the Synergy of Artificial Intelligence in Microbiology: Advancements, Challenges, and Future Prospects
P Mohseni, Abozar Ghorbani - Elsevier BV, 2024
The integration of artificial intelligence (AI) into microbiology has the transformative potential to advance our understanding and treatment of microbial systems. This review examines various applications of AI in microbiology, including activities such as predicting drug targets and vaccine candidates, identifying microorganisms responsible for infectious diseases, classifying drug resistance to antimicrobial drugs, predicting disease outbreaks, as well as investigating interactions between microorganisms, quality assurance, Identification of bacteria and compliance with health standards. We summarized key AI algorithms such as Naive Bayes, Support Vector Machines, Deep Learning, and Random Forests used in various microbiological studies. We also address challenges and criticisms associated with AI in microbiology. Finally, we discuss the prospects of AI, including advances in personalized medicine, reducing antimicrobial resistance, microbiome research, rapid diagnostics, environmental microbiology, and synthetic biology. Our review includes a comprehensive analysis of recent lite... Read More
22. AI methods in microbial metabolite determination
Ceren Akal, Rumeysa Nur Kara-Aktaş, Sebnem Ozturkoglu‐Budak - Elsevier, 2024
The multitude of microorganism species and the amount of data requiring examination is increasing day by day, which has made it very difficult to make informative determinations and analysis to be conducted by human labour. Artificial intelligence (AI) applications are crucial in mitigating these difficulties. AI is a multidisciplinary field that tries to imitate human-like abilities through learning, analysing, problem-solving and interpretation via digital systems. It can take part in many fields where human labour is required. It is widely used in various scientific disciplines and industries, including biotechnology, microbiology, medicine, etc. Machine learning, a subbranch of AI, is one of the most frequently used auxiliary methods. Critical topics are examined rapidly and meaningfully via machine-learning such as drug production, microbial detection, antimicrobial resistance, vaccine predictions, and disease diagnoses. The aim of this chapter is to highlight the relevance of computational methods for the determination of microbial metabolites which are mainly described in lite... Read More
23. Nanopore- and AI-empowered metagenomic viability inference
Harika Urel, Sabrina Benassou, Tim Reska - Cold Spring Harbor Laboratory, 2024
Abstract The ability to differentiate between viable and dead microorganisms in metagenomic samples is crucial for various microbial inferences, ranging from assessing ecosystem functions of environmental microbiomes to inferring the virulence of potential pathogens. While established viability-resolved metagenomic approaches are labor-intensive as well as biased and lacking in sensitivity, we here introduce a new fully computational framework that leverages nanopore sequencing technology to assess microbial viability directly from freely available nanopore signal data. Our approach utilizes deep neural networks to learn features from such raw nanopore signal data that can distinguish DNA from viable and dead microorganisms in a controlled experimental setting. The application of explainable AI tools then allows us to robustly pinpoint the signal patterns in the nanopore raw data that allow the model to make viability predictions at high accuracy. Using the model predictions as well as efficient explainable AI-based rules, we show that our framework can be leveraged in a real-world a... Read More
24. Lactic acid bacteria strains isolated from Jerusalem artichoke (Helianthus tuberosus L.) tubers as potential probiotic candidates
Carolina Iraporda, Irene A. Rubel, Guillermo D. Manrique - Springer Science and Business Media LLC, 2024
Abstract The search for probiotic candidates is an area that accompanies the world trend of development of novel probiotic strains and new products. In recent years, unconventional sources of potential probiotic bacteria have been studied. Furthermore, nowadays there has been a growing interest in non-dairy probiotic products and fermented plant-based foods, which has led to the development of probiotic foods currently being presented as a research priority for the food industry. The aim of this work was to evaluate the probiotic potential of lactic acid bacteria (LAB) isolated from Jerusalem artichoke ( Helianthus tuberosus L.) tubers. The results proved that the selected isolated LAB strains exhibited a high survival rate in the simulated gastrointestinal treatment, with non-hemolytic nor DNAse activity and antibiotic sensitivity. The isolated strains also showed antimicrobial activity against pathogen microorganisms, due to their acidification capacity. The molecular identification of the bacilli strains showed a high similarity with the genus Lentilactobacillus and, within this g... Read More
25. Primer Set Comprising SEQ ID NOs: 1 to 9 for Bacterial Species Identification in Probiotic Compositions
CHONGKUNDANG HEALTHCARE CORP, 2023
A primer set for identifying bacterial species in probiotic compositions and a method for determining bacterial species using the same. The primer set comprises primers represented by SEQ ID NOs: 1 to 9, which can simultaneously identify various bacterial species, including probiotics and pathogenic bacteria, in probiotic products. The method involves isolating DNA from the probiotic composition, performing PCR using the primer set, and detecting the amplification product to determine the bacterial species present.
26. Applications of Artificial Intelligence in Microbial Diagnosis
Yogendra Shelke, Ankit Badge, Nandkishor Bankar - Springer Science and Business Media LLC, 2023
The diagnosis is an important factor in healthcare care, and it is essential to identify microorganisms that cause infections and diseases. The application of artificial intelligence (AI) systems can improve disease management, drug development, antibiotic resistance prediction, and epidemiological monitoring in the field of microbial diagnosis. AI systems can quickly and accurately detect infections, including new and drug-resistant strains, and enable early detection of antibiotic resistance and improved diagnostic techniques. The application of AI in bacterial diagnosis focuses on the speed, precision, and identification of pathogens and the ability to predict antibiotic resistance.
27. Evaluation of Automatic Bacterial Classification Methods and Approaches
F Keren, F Keziah, F Fredrick Gnanaraj - IEEE, 2023
Bacteria, the diverse and abundant microorganisms that inhabit our planet, play a fundamental role in various aspects of life, from human health to environmental processes. Accurate and efficient classification of bacteria is essential for understanding their ecological roles, diagnosing infectious diseases, and unlocking the potential of beneficial microorganisms in biotechnology. While traditional methods of bacterial classification have been labor-intensive and time-consuming, recent advancements in automation and data-driven techniques have paved the way for automatic classification, significantly accelerating the process and enhancing its accuracy. This analysis explores into the realm of automatic classification of bacteria, exploring the innovative technologies and approaches that enable the rapid and precise categorization of bacterial species. Key components of automatic bacterial classification include data acquisition, feature extraction, model selection, training, and validation. For automatic classification of this data, machine learning and artificial intelligence algor... Read More
28. The Potential of Meta-Proteomics and Artificial Intelligence to Establish the Next Generation of Probiotics for Personalized Healthcare
Arpita Das, Rama N. Behera, Ayushi Kapoor - American Chemical Society (ACS), 2023
The symbiosis of probiotic bacteria with humans has rendered various health benefits while providing nutrition and a suitable environment for their survival. However, the probiotics must survive unfavorable gut conditions to exert beneficial effects. The intrinsic resistance of probiotics to survive harsh conditions results from a myriad of proteins. Interaction of microbial proteins with the host is indispensable for modulating the gut microbiome, such as interaction with cell receptors and protective action against pathogens. The complex interplay of proteins should be unraveled by utilizing metaproteomic strategies. The contribution of probiotics to health is now widely accepted. However, due to the inconsistency of generalized probiotics, contemporary research toward precision probiotics has gained momentum for customized treatment. This review explores the application of metaproteomics and AI/ML algorithms in resolving multiomics data analysis and in silico prediction of microbial features for screening specific beneficial probiotic organisms. Implementing these integrative stra... Read More
29. Comparative study on biochemical and molecular identification approaches of Lactobacillus species
Disha P. Senjaliya, John J. Georrge - Universiti Putra Malaysia, 2023
Manufacturers desire to sell healthy food in response to the consumers desire to lead a healthy lifestyle has increased the use of probiotics during the past few decades. Probiotics are used in dairy products, as well as non-dairy items as a starter culture, encompassing a wide range of goods. Numerous phenotyping, physical characterisation, and genotyping techniques have been developed to identify probiotic lactobacilli to ensure quality management. These techniques are frequently precise enough to categorise probiotic strains by genus and species. Traditional microbiological methods were initially employed for genus and species identification. However, due to their numerous shortcomings as the probiotic ability is often strain-dependent, and that there is no way to differentiate between strains using simple microbiological techniques, new methods that are mostly based on the examination of nucleic acids have been developed. Therefore, the objective of the present review was to provide critical assessment on existing methods for identifying members of the genus Lactobacillus, to... Read More
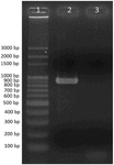
30. Development of a Multiplex PCR Assay for Efficient Detection of Two Potential Probiotic Strains Using Whole Genome-Based Primers
Despoina Eugenia Kiousi, Dimitrios Marinos Karadedos, Anastasia Sykoudi - MDPI AG, 2023
Probiotics are microorganisms that exert strain-specific health-promoting effects on the host. hey are employed in the production of functional dairy or non-dairy food products; still, their detection in these complex matrices is a challenging task. Several culture-dependent and culture-independent methods have been developed in this direction; however, they present low discrimination at the strain level. Here, we developed a multiplex PCR assay for the detection of two potential probiotic lactic acid bacteria (LAB) strains, Lactiplantibacillus plantarum L125 and Lp. pentosus L33, in monocultures and yogurt samples. Unique genomic regions were identified via comparative genomic analysis and were used to produce strain-specific primers. Then, primer sets were selected that produced distinct electrophoretic DNA banding patterns in multiplex PCR for each target strain. This method was further implemented for the detection of the two strains in yogurt samples, highlighting its biotechnological applicability. Moreover, it can be applied with appropriate modifications to detect any bacter... Read More
31. Screening, isolation and evaluation of probiotic potential Lactobacillus acidophilus strains from available sources in Bangladesh
Ariful Haque, Saiful F. Haq, Dipa Roy - International Journal of Biosciences, 2023
Probiotics, live microorganisms that promote health by balancing the gut microbiota, have gained popularity in food and supplements.This study aimed to identify potential probiotic strains of Lactobacillus acidophilus isolated from available yoghurt/fermented food sources in Bangladesh.The research addressed the need for indigenous strains to cater to the local population's health requirements in the face of imported probiotic products dominating the market.Eight yoghurt samples from Bogra District were collected and cultured using Man Rogosa and Sharp (MRS) broth and agar.The isolated lactobacilli were further characterised through sequencing, and the Lactobacillus acidophilus LA-5 strain was identified in all isolates.Lactobacillus acidophilus LA-5 is a probiotic strain that has been employed in food and dietary supplements.Additionally, a stock contamination test was conducted to ensure sample purity.In vitro tests were performed to assess the probiotic potential, including acid tolerance, bile salt tolerance, antibiotic sensitivity, and storage ability in order to mimic the gut e... Read More
32. Microbial Gene Database Construction System with Redundant Gene Elimination and Representative Gene Selection
SHENZHEN 01 LIFE TECH CO LTD, 2023
A method and system for constructing a microbial gene database that enables efficient and accurate identification of probiotics. The system uses a novel approach to select representative genes from multiple genomes of the same species, eliminating redundant genes and improving detection accuracy. The method involves gene prediction, genome comparison, and species annotation to generate a comprehensive gene database for probiotics.
33. The power of DNA based methods in probiotic authentication
Hanan R. Shehata, Steven G. Newmaster - Frontiers Media SA, 2023
The global probiotic market is growing rapidly, and strict quality control measures are required to ensure probiotic product efficacy and safety. Quality assurance of probiotic products involve confirming the presence of specific probiotic strains, determining the viable cell counts, and confirming the absence of contaminant strains. Third-party evaluation of probiotic quality and label accuracy is recommended for probiotic manufacturers. Following this recommendation, multiple batches of a top selling multi-strain probiotic product were evaluated for label accuracy.A total of 55 samples (five multi-strain finished products and 50 single-strain raw ingredients) containing a total of 100 probiotic strains were evaluated using a combination of molecular methods including targeted PCR, non-targeted amplicon-based High Throughput Sequencing (HTS), and non-targeted Shotgun Metagenomic Sequencing (SMS).Targeted testing using species-specific or strain-specific PCR methods confirmed the identity of all strains/species. While 40 strains were identified to strain level, 60 strains were identi... Read More
34. Real-time polymerase chain reaction methods for strain specific identification and enumeration of strain Lacticaseibacillus paracasei 8700:2
Hanan R. Shehata, Basma Hassane, Steven G. Newmaster - Frontiers Media SA, 2023
Introduction Reliable and accurate methods for probiotic identification and enumeration, at the strain level plays a major role in confirming product efficacy since probiotic health benefits are strain-specific and dose-dependent. In this study, real-time PCR methods were developed for strain specific identification and enumeration of L. paracasei 8700:2, a probiotic strain that plays a role in fighting the common cold. Methods The assay was designed to target a unique region in L. paracasei 8700:2 genome sequence to achieve strain level specificity. The identification assay was evaluated for specificity and sensitivity. The enumeration viability real-time PCR (v-qPCR) method was first optimized for the viability treatment, then the method was evaluated for efficiency, limit of quantification, precision, and its performance was compared to plate count (PC) and viability droplet digital PCR (v-ddPCR) methods. Results The identification method proved to be strain specific and highly sensitive with a limit of detection of 0.5 pg of DNA. The optimal viability dye (PMAxx) concentration wa... Read More
35. Device and Method for Generating Species-Specific Consensus Sequences via Sequence Clustering and Multi-Strain Alignment
SHANGHAI ZJ BIO TECH CO LTD, 2023
A method and device for obtaining species-specific consensus sequences of microorganisms, enabling improved detection sensitivity and specificity in nucleic acid amplification assays. The method involves clustering specific sequences from target strains, verifying consensus sequences through multi-strain alignment, and screening for optimal primer and probe sequences. The device comprises modules for clustering, verification, and screening, enabling automated identification of species-specific consensus sequences for use in nucleic acid amplification assays.
36. ProbioMinServer: an integrated platform for assessing the safety and functional properties of potential probiotic strains
Yen‐Yi Liu, Chu-Yi Hsu, Ya-Chu Yang - Oxford University Press (OUP), 2023
ProbioMinServer is a platform designed to help researchers access information on probiotics regarding a wide variety of characteristics, such as safety (e.g. antimicrobial resistance, virulence, pathogenic, plasmid, and prophage genes) and functionality (e.g. functional classes, carbohydrate-active enzyme, and metabolite gene cluster profile). Because probiotics are functional foods, their safety and functionality are a crucial part of health care. Genomics has become a crucial methodology for investigating the safety and functionality of probiotics in food and feed. This shift is primarily attributed to the growing affordability of next-generation sequencing technologies. However, no integrated platform is available for simultaneously evaluating probiotic strain safety, investigating probiotic functionality, and identifying known phylogenetically related strains.Thus, we constructed a new platform, ProbioMinServer, which incorporates these functions. ProbioMinServer accepts whole-genome sequence files in the FASTA format. If the query genome belongs to the 25 common probiotic specie... Read More
37. Counting and Identifying Probiotics: From a Systematic Comparison of Three Common Methods to Proposing an Appropriate Method for Identification
Setayesh Zamanpour, Asma Afshari, Mohammad Hashemi - Bentham Science Publishers Ltd., 2023
Background: The plate count technique had traditionally been used for the determination of viability and counting of probiotic bacteria, which had obvious disadvantages. Efficient tools to identify and count probiotics (alone or in combination) have evolved. Objective: This study aimed to compare two methods of counting and identifying probiotics such as Real-time PCR and flow cytometry, with the culture method and suggest an inexpensive method for the diagnosis of probiotics in dairy products. Methods: Electronic databases such as Scopus, PubMed, and Science Direct were systematically searched, identified, screened, and reviewed from June 2001 to December 2022. Results: This study showed that each technology has its strengths, advantages, and disadvantages, but the Real-time PCR method is more suitable than other methods and can identify and count live cells of probiotics. Conclusion: In conclusion, it should be mentioned that due to the superiority of the Real-time PCR method, we recommend the use of this molecular method, but for more assurance and comparison, several methods can ... Read More
38. Multi-dimensional experimental and computational exploration of metabolism pinpoints complex probiotic interactions
Guido Zampieri, Georgios Efthimiou, Claudio Angione - Elsevier BV, 2023
Multi-strain probiotics are widely regarded as effective products for improving gut microbiota stability and host health, providing advantages over single-strain probiotics.However, in general, it is unclear to what extent different strains would cooperate or compete for resources, and how the establishment of a common biofilm microenvironment could influence their interactions.In this work, we develop an integrative experimental and computational approach to comprehensively assess the metabolic functionality and interactions of probiotics across growth conditions.Our approach combines co-culture assays with genome-scale modelling of metabolism and multivariate data analysis, thus exploiting complementary data-and knowledge-driven systems biology techniques.To show the advantages of the proposed approach, we apply it to the study of the interactions between two widely used probiotic strains of Lactobacillus reuteri and Saccharomyces boulardii, characterising their production potential for compounds that can be beneficial to human health.Our results show that these strains can establi... Read More
39. A Potential Novel Probiotic Strain and its Comparative Antagonism Evaluation with a Multi-Strain Probiotic Combination along with an Innovative Approach for Quantifying the Viable Microbiota
Sheik Mohammad Jakaria Mujahidy, Kazuho Ikeo, Kei Saito - MDPI AG, 2023
The goal of the current study was to discover a novel potential probiotic strain of Lactobacillus spp. with anti-Escherichia coli activity from locally produced yogurt in Tongi, Gazipur, Bangladesh, compare its antagonistic activity with a commercial probiotic mixture of several strains, and approve a novel method for confirming the viability and relative abundance of the microbial community in a probiotic mixer. We carried out 16S sequencing, 16S metagenomics, Transmission Electron Microscopy (TEM) analysis, and other in vitro laboratory experiments to reach this objective. The strain TY-11 was identified as Lactobacillus delbrueckii subsp. indicus (16S sequence accession number OQ652026). It was gram-positive, anaerobic, lactose fermenting, and round-ended rod that typically measured 0.7 to 1.3 m by 2.2 to 9 m. In addition to having seven probiotic characteristics, it also showed an antagonistic impact on six different pathogens, but what&#039;s more noteworthy is that E. coli was the pathogen it inhibited most strongly (inhibition zone diameter was 18.880.18 mm). The most i... Read More
40. Artificial Intelligence in Medicine: Microbiome-Based Machine Learning for Phenotypic Classification
Xi Cheng, Bina Joe - Springer US, 2023
Advanced computational approaches in artificial intelligence, such as machine learning, have been increasingly applied in life sciences and healthcare to analyze large-scale complex biological data, such as microbiome data. In this chapter, we describe the experimental procedures for using microbiome-based machine learning models for phenotypic classification.
41. MOLECULAR GENETIC IDENTIFICATION OF BACTERIA ISOLATED FROM GOAT MILK
Sanam Nadirova - al-Farabi Kazakh National University, 2023
In recent years there has been a steady trend towards an increase in the number of studies on the study of probiotics, which have a beneficial effect on the body: improve the intestinal microflora; contribute to the reduction of pathogenic bacteria; have the ability to produce substances with antimicrobial activity. In order to obtain probiotics from domestic raw materials, molecular genetic identification of bacterial strains was carried out. The object for the isolation of lactic acid bacteria was natural goat milk from the Almaty region, IE "Bekezhanova". Identification of bacterial strains was carried out on an ABI 3500 xL genetic analyzer (Applied Biosystems) using 16S primers 8F and 806R at the Scientific and Practical Center for Microbiology and Virology (Almaty). Phylogenetic analysis was performed using MEGA 6 software. Nucleotide sequence alignment was performed using the ClustalW algorithm. The results were obtained using the method of determining the direct nucleotide sequence of the 16S rRNA gene fragment, followed by comparison of the nucleotide identity with the sequen... Read More
42. Machine learning and deep learning applications in microbiome research
Ricardo Hernández Medina, Svetlana Kutuzova, K Nielsen - Oxford University Press (OUP), 2022
Abstract The many microbial communities around us form interactive and dynamic ecosystems called microbiomes. Though concealed from the naked eye, microbiomes govern and influence macroscopic systems including human health, plant resilience, and biogeochemical cycling. Such feats have attracted interest from the scientific community, which has recently turned to machine learning and deep learning methods to interrogate the microbiome and elucidate the relationships between its composition and function. Here, we provide an overview of how the latest microbiome studies harness the inductive prowess of artificial intelligence methods. We start by highlighting that microbiome data being compositional, sparse, and high-dimensional necessitates special treatment. We then introduce traditional and novel methods and discuss their strengths and applications. Finally, we discuss the outlook of machine and deep learning pipelines, focusing on bottlenecks and considerations to address them.
43. Quantum-Inspired Differential Evolution Algorithm in Probiotics Marker Genes Selection
Mizan Binti Kamarudin, Chia Sui Ong, Shing Chiang Tan - IEEE, 2022
Selected microbial strains have long been used as probiotics for their health-promoting benefits. Genome analysis offers a faster and comprehensive approach for the screening of the probiotic potential of a microbial strain. Use of machine learning algorithm increases the applicability and reliability to perform prediction using genomic features. In this work, a metaheuristic algorithm, the quantum-inspired differential evolution (QDE) algorithm, was employed for probiotic marker genes selection. The genome data of 60 Bacillus spp. strains were annotated and represented with a standard identifier, the K numbers. By classifying the strains into probiotics (27 strains) and non-probiotics (33 strains), the elitist QDE algorithm was used to select a subset of features that can classify the strains into the correct class, with accuracy of 0.9055. A set of 45 features (K numbers) were shortlisted to be useful marker genes for probiotics potential.
44. Quantitative PCR Assays for the Strain-Specific Identification and Enumeration of Probiotic Strain Lacticaseibacillus rhamnosus X253
Lei Zhao, Dong Zhang, Yang Liu - MDPI AG, 2022
Probiotics are universally recognized for their health benefits, despite the fact that their effects depend on the strain. Identification and enumeration of probiotic strains are required prior to evaluating their effectiveness. Lacticaseibacillus rhamnosus X253 is a potential probiotic strain with antioxidant capacity. Comparative genomics and single nucleotide polymorphisms (SNPs) were used to identify a strain-specific locus within the holA gene for strain X253 that was distinct in 30 different L. rhamnosus strains. Using quantitative PCR, the primers and probe designed for the locus were able to distinguish L. rhamnosus X253 from the other 20 probiotic strains. The chosen locus remained stable over 19 generations. The sensitivity of the assay was 0.2 pg genomic DNA of L. rhamnosus X253, or 103 cfu/mL bacteria of this strain. In terms of repeatability and reproducibility, relative standard deviations (RSD) were less than 1% and 3%, respectively. Additionally, this assay achieved accurate enumerations of L. rhamnosus X253 in spiked milk and complex powder samples. The strain-specif... Read More
45. PCR Primer-Based Method for Specific Amplification of Lactobacillus plantarum subsp. plantarum PS128 Genomic Sequence
BENED BIOMEDICAL CO LTD, 2022
A method for detecting Lactobacillus plantarum subsp. plantarum PS128, a specific strain of lactic acid bacteria, using PCR primers that specifically amplify a unique genomic sequence region of PS128. The primers, which can be used in a detection kit, are designed to hybridize to specific sequences of PS128 under nonarbitrary hybridization conditions, allowing for the specific identification and discrimination of PS128 from other Lactobacillus species.
46. Machine Learning Algorithms Highlight tRNA Information Content and Chargaff’s Second Parity Rule Score as Important Features in Discriminating Probiotics from Non-Probiotics
Carlo M. Bergamini, Nicoletta Bianchi, Valério Giaccone - MDPI AG, 2022
Probiotic bacteria are microorganisms with beneficial effects on human health and are currently used in numerous food supplements. However, no selection process is able to effectively distinguish probiotics from non-probiotic organisms on the basis of their genomic characteristics. In the current study, four Machine Learning algorithms were employed to accurately identify probiotic bacteria based on their DNA characteristics. Although the prediction accuracies of all algorithms were excellent, the Neural Network returned the highest scores in all the evaluation metrics, managing to discriminate probiotics from non-probiotics with an accuracy greater than 90%. Interestingly, our analysis also highlighted the information content of the tRNA sequences as the most important feature in distinguishing the two groups of organisms probably because tRNAs have regulatory functions and might have allowed probiotics to evolve faster in the human gut environment. Through the methodology presented here, it was also possible to identify seven promising new probiotics that have a higher information ... Read More
47. Deep embeddings to comprehend and visualize microbiome protein space
Krzysztof Odrzywołek, Zuzanna Karwowska, Jan Majta - Springer Science and Business Media LLC, 2022
Understanding the function of microbial proteins is essential to reveal the clinical potential of the microbiome. The application of high-throughput sequencing technologies allows for fast and increasingly cheaper acquisition of data from microbial communities. However, many of the inferred protein sequences are novel and not catalogued, hence the possibility of predicting their function through conventional homology-based approaches is limited, which indicates the need for further research on alignment-free methods. Here, we leverage a deep-learning-based representation of proteins to assess its utility in alignment-free analysis of microbial proteins. We trained a language model on the Unified Human Gastrointestinal Protein catalogue and validated the resulting protein representation on the bacterial part of the SwissProt database. Finally, we present a use case on proteins involved in SCFA metabolism. Results indicate that the deep learning model manages to accurately represent features related to protein structure and function, allowing for alignment-free protein analyses. Techno... Read More
48. Diagnosing Bacteria Samples Using Data Mining: Review study
Ahmed Adnan Badr, Thekra Abbas, Mohammed Fadhel AboKsour - IEEE, 2022
Bacteria are implicated in a lot of biological and chemical activities, some of which are dangerous and others beneficial. Bacterial samples go through several stages before identification. Some of these stages are done visually with a microscope to detect the bacteria's shape and color of the gram stain, while others include exposing these samples to chemical and organic substances. Researchers have developed intelligence computer systems capable of diagnosing and classifying bacteria in order to minimize the amount of human labor and increase diagnosis accuracy. This paper will provide a detailed look at previous studies that tried to find solutions to the problem of diagnosing and classifying bacteria samples using artificial intelligence techniques such as deep learning, machine learning and data mining, as well as analyzing the results of these studies and clarifying the challenges of building comprehensive systems capable of performing this task.
49. Microorganism Identification via 3D Quantitative Phase Imaging and Convolutional Neural Network Processing
KOREA ADVANCED INSTITUTE OF SCIENCE AND TECHNOLOGY, 2022
A method for identifying microorganisms using 3D quantitative phase imaging (QPI) and a neural network. The method involves generating a 3D QPI of a microorganism using a phase-contrast microscope, processing the image with a 3D convolutional neural network, and identifying the microorganism type based on the network output. The method enables rapid identification of microorganisms, such as bacteria, from biological samples, with potential applications in clinical diagnostics and antibiotic therapy.
50. Fundamentals and Applications of Artificial Neural Network Modelling of Continuous Bifidobacteria Monoculture at a Low Flow Rate
Sergey Dudarov, Elena Guseva, Yury A. Lemetyuynen - MDPI AG, 2022
The application of artificial neural networks (ANNs) to mathematical modelling in microbiology and biotechnology has been a promising and convenient tool for over 30 years because ANNs make it possible to predict complex multiparametric dependencies. This article is devoted to the investigation and justification of ANN choice for modelling the growth of a probiotic strain of Bifidobacterium adolescentis in a continuous monoculture, at low flow rates, under different oligofructose (OF) concentrations, as a preliminary study for a predictive model of the behaviour of intestinal microbiota. We considered the possibility and effectiveness of various classes of ANN. Taking into account the specifics of the experimental data, we proposed two-layer perceptrons as a mathematical modelling tool trained on the basis of the error backpropagation algorithm. We proposed and tested the mechanisms for training, testing and tuning the perceptron on the basis of both the standard ratio between the training and test sample volumes and under the condition of limited training data, due to the high cost,... Read More
Get Full Report
Access our comprehensive collection of 94 documents related to this technology
